
WebLos dientes de leche son las primeras piezas dentales que salen en la boca del bebé y que posteriormente serán reemplazados por la dentición definitiva. Pero el. WebMi hijo tiene una caries en una muela de leche, el odontopediatra empezó a trabajar sin anestesia a pesar de que mi hijo se quejó, le pregunté y me dijo que era porque quería.
Operacion De Pecho Por Debajo Del Musculo, Implante de senos debajo del músculo 😨 ¿Cuándo es opción, 5.65 MB, 04:07, 9,026, Symetrika Advanced Aesthetics, 2021-11-24T02:37:26.000000Z, 3, MI OPERACIÓN DE PECHO (Mamoplastia)- Adriana Boho - YouTube, www.youtube.com, 1280 x 720, jpeg, , 20, operacion-de-pecho-por-debajo-del-musculo, New Topics
Web¿Qué signos o síntomas nos dicen si tenemos una muela con caries? 1. Una mayor sensibilidad en los dientes. 2. Dolor repentino de muelas sin una causa. WebCuando a un diente de leche le sale una caries no sólo se puede sino que se debe arreglar, en la medida de lo posible. Empastar un diente consiste en eliminar el. WebCuando un niño tiene caries, lo primero es averiguar por qué y corregir la causa. Puede ser un esmalte débil, un exceso de chucherías y refrescos o una. WebLa caries es un ataque ácido al esmalte de los dientes que puede provocar caries, que son esencialmente agujeros en los dientes. Las caries en los. WebEn este video muestro un pequeño caso de caries en dos dientes diferentes uno deciduo uno también conocido como diente de leche y otro diente que es una mola... WebLa caries de la primera infancia (ECC) es un término común utilizado por los dentistas para describir la caries dental de la primera infancia en niños. WebLas caries dentales tanto en diente de leche como en diente definitivos se deberán tratar con celeridad, por ello debes llevar a tu hija con un dentista o un.
Últimas Las CARIES en niños con DIENTES DE LECHE no hace falta tratarlas. 🤥¡MENTIRA! viral
Veamos Caries y dientes de leche: Todo lo que debes saber Nuevo
Curaciones dentales en dientes de leche Último
Más sobre Caries En Muela De Leche lo que puede ver
Las CARIES en niños con DIENTES DE LECHE no hace falta tratarlas. ¡MENTIRA!
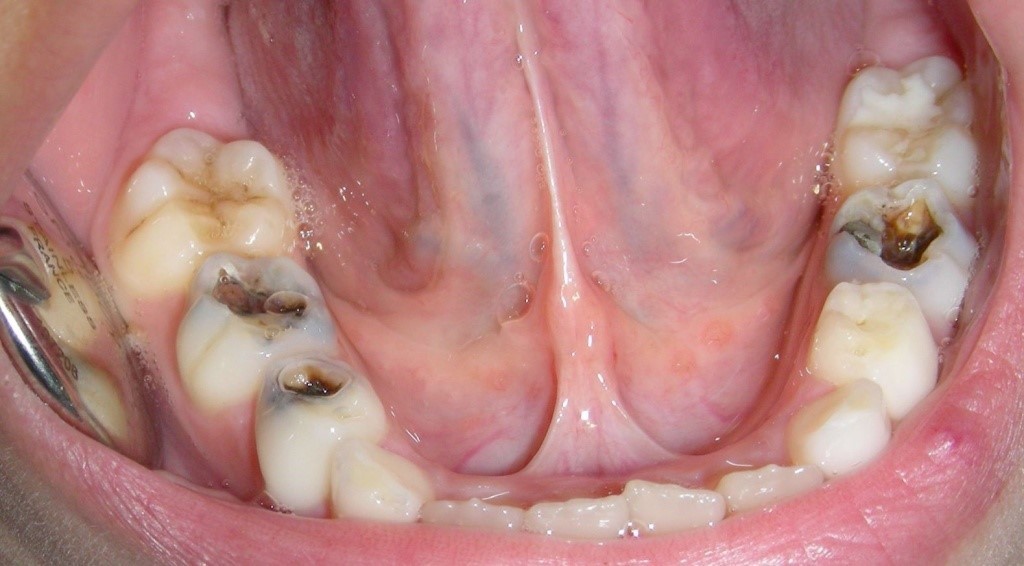
Seguramente hayas escuchado alguna vez que las caries en los dientes de leche no hay que darles demasiada importancia, ya que como estos se van a caer y nacer unos nuevos, pues que no es necesario realizar ningún tratamiento, pues bien, esto es totalmente falso y aquí te voy a explicar las consecuencias. Esta es la boca de un niño pequeño, fijaos que tiene prácticamente todos los dientes con caries, pero ¿por qué ocurren las caries con tanta facilidad en los dientes de leche? Los dientes de leche tienen una capa de esmalte más fina que la de los dientes definitivos, por eso las caries en los dientes de leche pueden avanzar más rápidamente que en las de los definitivos. Las caries, además del propio dolor que suelen generar si no se tratan pueden terminar por hacer que la pieza se pierda, como esta que estáis viendo aquí, lo que puede producir graves problemas en la forma de mordida del niño. Cuando un diente de leche se pierde de forma prematura se puede producir que los dientes de al lado se muevan impidiendo que el diente definitivo salga en su posición normal. Asi que cuidad la salud dental de los más pequeños.
#caries #diendesdeleche #niños #drpardinaslopez
Suscríbete a nuestro canal de YouTube 👉 bit.ly/suscribeteCP
Síguenos también en:
👍 Instagram: instagram.com/dr.pardinaslopez
👍 Facebook: facebook.com/dr.pardinaslopez
👍 Twitter: twitter.com/drpardinaslopez
👍 Tiktok: tiktok.com/@dr.pardinaslopez/
👍 Linkedin: es.linkedin.com/in/dr-pardinaslopez
Caries dental y cómo afecta a los niños en su proceso de crecimiento

Aquí Caries En Muelas De Leche En Niños - Niños Relacionados viral

Ver Is caries in the milk teeth still an issue? - Christina Cherry volviéndose viral

Imprescindible Caries dentales - Tu Pediatra en Tenerife tendencias

Veamos Algunos consejos sobre dientes de leche. Último

Acerca de ما هو تسوس الاسنان dental caries وما هى اسبابه وكيفية علاجه - موسوعة tendencias

Último Dolor De Muelas De La Caries Del Becerro Foto de archivo - Imagen de

Imágenes Odontología infantil | Muelas cariadas

Acerca de Caries dental. ¿Qué son y cómo se previenen? - juanbalboa.com

Discusión ¿Qué hacer en caso de tener un dolor de muela muy fuerte? - Dra.Montes Nuevo

Mira Qué es la caries dental: las causas de la enfermedad, los síntomas y tendencias

Ver Tienes caries? Estos son los síntomas » DTDental viral

Fotos Caries En Muelas De Leche En Niños - Niños Relacionados más
Acerca de Muela picada: causas y tratamientos - Mejor con Salud volviéndose viral

Veamos ¿Por qué tengo caries, aunque me cepillo tres veces al día, y no como tendencias

Discusión Como Eliminar Las Caries De Forma Facil y Natural - Mr. Salud | Como Último




0 Komentar